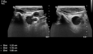
Nodulo tiroideo solido